UNIVERSITE DE LILLE 2
Droit et Santé
FACULTE DE CHIRURGIE DENTAIRE
Mémoire
Diplôme Universitaire Clinique d’Occlusodontie & d’Equilibre
Corporel (DUCOEC)
2011 – 2012
Soutenu par Drs BUI Céline et Huy-Lan
La Posturologie et l’appareil manducateur
Au Grand Maître T. Minh Ð.t, qui nous guide sur le Chemin
Tous nos sincères remerciements et reconnaissances à
- Monsieur le Doyen, Professeur Pierre Hubert DUPAS
- Monsieur le Docteur François GRAUX
- Monsieur Grégory DUPAS, l’ostéopathe
Et
- l’équipe des enseignants de la Faculté De Chirurgie Dentaire et de l’Ecole d’Ostéopathie de Lille
Qui nous ont permis de rendre encore plus passionnant et efficace notre travail dans le but de rendre la vie plus agréable chaque jour à nos patients.
Drs Céline et Huy-Lan BUI
La POSTUROLOGIE ET L’APPAREIL
MANDUCATEUR
I. DÉFINITIONS :
La Posturologie :
Etude du système de régulation de la posture, de sa stabilité et de son orientation. Cette discipline est née depuis le XIXème siècle, la 1ère école de posturologie était fondée en 1890 à Berlin par Vierordt.
Le système postural d'aplomb (SPA) ou le système tonique postural (STP) permet à l’homme de se situer dans son environnement gravitaire ou du moins de vivre adapté à la gravité, et donne une certaine rigidité et cohérence à notre corps en limitant plus ou moins le degré de liberté de nos articulations. Il régit l’équilibre du corps dans l’espace aussi bien en position statique, immobile que dans le mouvement et l’action.
STP est classiquement attribué à l’oeil, l’oreille interne, au pied (capteurs périphériques) et à la proprioception et à la viscéroception (des capteurs internes constitués par le système proprioceptif articulaire, tendineux, musculaire et la peau).
Dans la plupart des documents lus sur internet, les définitions données sur la posture ne mentionnent pratiquement pas les dents, ou le système manducateur.
L’appareil manducateur comprend le maxillaire, la mandibule, les dents, les articulations temporo – mandibulaires, la langue et tous les systèmes musculaires attachés : les muscles élévateurs (le temporal –antérieur, moyen, postérieur- , le masséter et le ptérygoïdien médian) ; les muscles abaisseurs : les sus-hyoïdiens (les génio – hyoïdiens, les mylo – hyoïdiens, les digastriques, les stylo – hyoïdiens) ; les sous – hyoïdiens ( les sterno – thyroïdiens, les thyro – hyoïdiens, les sterno – cleïdo – hyoïdiens et les omo – hyoïdiens) ; les ptérygoïdiens latéraux.
On appelle manducation tous les actes précédant la digestion (la préhension, la mastication, la déglutition).
Il est donc logique de se demander si cet ensemble aurait une action quelconque sur l’équilibre du corps dans l’espace et plus particulièrement sur le tonus postural.
II. L’APPAREIL MANDUCATEUR FAIT – IL PARTIE INTÉGRANT DU SYSTÈME POSTURAL ?
Il semblerait logique de répondre oui, et ce pour plusieurs réponses :
1 / l’appareil manducateur est le trait d’union entre les chaînes musculaires antérieures et les chaînes musculaires postérieures.
Le maxillaire dépend de la sphère antérieure, la mandibule de la sphère postérieure, l’occlusion est la traduction de l’état dynamique oscillatoire crânien.
Pour GOETHE, puis STEINER, les os crâniens n’étaient que des vertèbres métamorphosées et qu’il existait une continuité structurale colonne vertébrale – crâne.
Ainsi, la première vertèbre est représentée par le pré – sphénoïde, la 2ème par le post – sphénoïde, la 3ème par l’occipital. Atlas est en fait la 4ème vertèbre et se comporte comme un véritable ménisque adaptatif colonne vertébrale – crâne.
Lorsque les dents vont entrer en contact, l’occlusion s’établit, alors le système s’auto – verrouille.
Il n’y a plus à ce moment de véritable possibilité de manoeuvres ostéopathiques pour lever cette barrière.
C’est le déverrouillage occlusal qui peut alors redonner une mobilité au système et de donner par là une nouvelle information dentaire et crânienne.
2 / la mandibule et la langue sont directement branchées sur la chaîne linguale ou antérieure
La langue participe à des fonctions buccales de déglutition, mastication et de phonation.
Elle appartient au système occlusal et aussi au système postural. Son innervation est plurielle, ce qui nous permet de comprendre son rôle adaptateur ou compensateur dans les troubles de développement de la région cervico-faciale ou des troubles de comportement.

Sa dysfonction dans la déglutition salivaire dysfonctionnelle ou atypique et la ventilation orale (en autres) sont la preuve d’une anomalie du développement l’enfant.
Toutes les compressions de la base du crâne, lésions de la charnière occiput – atlas entraîneront des dysfonctionnements linguaux.
3/ le maxillaire supérieure par l’intermédiaire du crâne est en rapport avec la chaîne faciale ou postérieure, la chaîne centrale ou pharyngo – pré – vertébrale et chaînes latéro-masticatrices.
4/ Sur le plan neurophysiologique, nous notons l’importance des connections entre les noyaux du trijumeau tout le long du tronc cérébral et ses efférences nombreuses vers des formations intervenant dans le tonus postural.
--- Vers les noyaux des nerfs moteurs oculaires.
--- Vers l’hypothalamus et le thalamus
--- Vers le nerf spinal IX,
--- Vers le colliculus supérieur (B BRICOT)
A DAMASIO nous révèle l’importance de la nature du trijumeau qui n’est pas un simple nerf sensoriel, mais un nerf global qui amène au cerveau l’information
nécessaire à la construction de la cartographie neuronale représentative de l’organisme dans son entier.
Il concourt à amener au cerveau les informations viscéro – internes et musculo – squelettiques de la tête, il peut être considéré comme un véritable nerf posturale (M CLAUZADE) .
5/ Différentes expérimentations le confirment :
---Influence de l’appareil manducateur sur l’appui podal SERVIERE)
--- Influence de l’appui podal sur l’appareil manducateur (TOUBOL et Co).
--- Influence de l’appareil manducateur sur l’oeil (MEYER et BARON)
Mon expérience personnelle :
Madame M, une patiente de 38 ans, adressée par une orthoptiste, et un médecinposturologue venait en consultation. Elle se plaignait de difficulté de mastication, de vertige en position couchée. Et elle soulignait que ses problèmes avaient été déclenchés après les soins des 16 et 26 à l’âge de 18 ans.
En effet, 16 et 26 présentaient 2 énormes amalgames reconstruits sans respecter l’anatomie dentaire et en sous – occlusion au niveau des cuspides vestibulaires.
C’est surtout l’oeil droit qui divergeait complètement. Tout de suite, après avoir reconstruit 16, la patiente a senti une nette stabilité au niveau de son oeil droit, son oeil revenait centré.
--- Influence du V sur le colliculus supérieur et sur le thalamus (WODA).
--- Influence du V sur la partie haute du tronc cérébral (BUISSERET)
--- Influence de l’oeil sur l’ATM : elle n’a pas été formellement prouvée, mais une insuffisance de convergence ou une hétérophorie provoque toujours un déséquilibre droit /gauche des masses musculaires cervico – scapulaires. Le retentissement sur l’appareil manducateur est inéluctable.
III. LE SYSTEME CRÂNIO – SACRÉ - MANDIBULAIRE
Le système postural comprend 2 systèmes interactifs :
1/ système crânio – sacré – mandibulaire primordial, archaïque, reflet de notre verticalisation est formé par 2 sous-systèmes : le crânio–mandibulaire ou mandibulaire et le crânio–sacré.
2/ système compensateur de régulation, périphérique, qui inter-réagit avec ce système primordial : le vestibule, l’oeil et les pieds.
L’articulation temporo–mandibulaire, douée de propriétés de cicatrisation et de remodelage, est une région fondamentalement compensatrice entre les 2 grands systèmes : le système crânio – sacré et le système crânio –mandibulaire.
La mandibule est l’élément mobile et permet avec les ATM de compenser le système postural.
Les dents bien équilibrées maintiennent et stabilisent cette position crâniomandibulaire.
Ce qui nous amène aux schémas de posture différents selon le type de dysmorphoses dentaires suivant la classification dentaire d’ANGLE (selon la position de la mandibule).

IV. Quelques cas illustrant le traitement des troubles corporels prouvant le rapport entre l’Occlusodontie et l’Ostéopathie
A– Présentation
Depuis le début de notre exercice, nous avons pu constater chez nos patients une relation étroite entre les troubles occlusaux (malposition dentaire, perte dentaire non ou mal compensée, usure dentaire mal ou non compensée, troubles de fonctionnement de l’appareil manducateur…) et ceux corporels.
Ainsi, après les traitements résolvant ces troubles dentaires, nous avons observer des soulagements durables concernant des problèmes corporels : arthroses, courbatures, positions, sommeil, moral...
Aujourd’hui, nos traitements passent en premier par l’Occlusodontie combinant avec l’Ostéopathie, l’Orthoptie consultée vers d’autres disciplines.
B– Cas Cliniques
Cas 1 Philippe L. (2011-12)
1) Historique
Podologue en retraite, ce monsieur était venu en consultation pour chercher une solution à sa dentition usée depuis longtemps, plus de 10 ans.
Il avait rendu visite à différents spécialistes qui lui proposaient d’autres solutions telles que la chirurgie crânienne, ou neurologique ou extraction totale des dents.
2) Examen clinique
Nous avons constaté :
a) Anamnèse :
Ce patient présentait depuis environ 10 ans une migraine permanente, des douleurs nucales, dorsales, lombaires (avec ablation du disque vertébral entre L4-L5, ce qui lui rendait l’impossibilité de rester debout plus que 5 minutes à cause d’une souffrance extrême du dos), de l’articulation des genoux, de l’insomnie, des vertiges associés aux acouphènes et baisse de l’audition, sans parler de sa dépression et son désespoir. La plupart des symptômes sont concentrés sur son côté Gauche. Ce qui est confirmé par des tests scapulaire et pelvien.

b) Extra buccal :
Important pli de la commissure labiale + traits fatigués + démarches lentes, hésitantes, lourdes, avec amplitude réduite des mouvements.
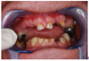
c) Intra buccal :
. Perte importante de la Dimension Verticale, avec usure du 2/3 de la hauteur coronaire des Incisives centrales Supérieures. Affaissement de la hauteur des dents.
. Edentation encastrée et présence d’autres dents réduites à l’état de racines
. Faible ouverture buccale : largeur 1 doigt et demi
. Claquement ATM léger du côté G à l’ouverture
. Absence de la vraie mastication
d) Tests ostéopathiques scapulaire et pelvien :
Montrant un blocage d’origine dentaire et ostéopathique, côté G+ d’origine ostéopathique ascendant.
3) Traitements proposés
Rehaussement occlusal progressif de 1,3 cm, avec la réalisation de mordu physiologique, en RC, pour retrouver la hauteur physiologique équilibré naturelle du patient + réalisation de prothèses amovible partielle supérieure et inférieure en Flexite + reconstitution coronaire des dents restantes pour reconstruire du Guidage Antérieur+Calage Postérieur.
Rééquilibration Occlusale+Ostéopathie
Prescription de gouttière souple type SB

4) Résultats obtenus
Suite au traitement prescrit, nous avons assisté à la disparition, dès la première semaine après l’acte, des douleurs nucales, lombaires, ainsi que les migraines, l’insomnie. Les vertiges bien atténués disparaissaient progressivement après 2 semaines. La personne a pu reprendre une vie quasi normale, de nouveau, il accompagné son épouse faire les courses.
Un meilleur sommeil et une audition de meilleure qualité étaient récupérés par la suite progressivement. L’ouverture buccale devenue satisfaite avec une hauteur égale à la largeur de 2 doigts et demi.
Le résultat est renforcé par le port de 2 prothèses amovibles souples type Flexite (le patient a fait l’expérience : mal au dos de nouveau si absence de prothèses, disparition de souffrance si prothèses en bouche)
Le moral s’est vu remonter, la dépression atténuée significativement.
Une meilleure posture est constatée à la fois par le patient et nous.
5) Pronostic
Bon, car bonne tolérance des prothèses et du rehaussement.
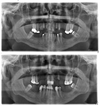
En comparant les 2 radiogrammes panoramiques, pris sur 6 mois d’écart, nous
avons pu constater une amélioration de l’état des condyles : densité osseuse, mobilité de la mandibule récupérée dans les 3 dimensions de l’espace. Ce qui était impossible avant.

6) Discussion
Nous avons pu apprécier l’aide qu’a apporté le traitement ostéopathique dans le plan de traitement général, ce qui nous a facilité l’ouverture du blocage postural que présente ce patient depuis des années.
L’Ostéopathie nous a permis aussi de vérifier la validité des soins apportés. Des tests ont été effectués avant et après la pose de chaque élément prothétique. Ce qui permet d’écarter un maximum d’erreur dans le travail et d’éviter d’aggraver la situation dans laquelle se trouvait le patient.
Cas 2 : Liliane B. (2009-10)
1) Historique
Madame Liliane B. nous était amenée par son époux, pour chercher une autre solution thérapeutique à ses souffrances qui duraient depuis 12 années.
2) Examen clinique
a) Anamnèse :
Depuis plus de 10 ans, cette personne souffrait des migraines permanentes, de l’insomnie, mal de nuque, mal de dos, de perte d’équilibre, de surdité partielle importante, surtout à G, des jambes instables. Dépression.
Sans oublier les troubles articulaires, digestifs.
Test de marche montre la titubation, pas non rassurés, fatigue permanente, sommeil non réparateur (malgré une somnolence permanente due à la prise de médicaments), couleur vestimentaire gris, sombre.
b) Extra buccale :
Aspect fatigué, épuisé, faible, démarche chancelante, incertaine, toujours prendre appui sur le mari, parler peu. Somnolence, suite aux traitements médicamenteux.
c) Intra buccal :
Usure dentaire moyenne, absence de 9 molaires sur 12. Nous constations donc une perte de Dimension Verticale en Distal, environ 2 mm. Ce qui provoquerait une compression des ATM, sans causer des douleurs, seulement une existence de faibles claquements articulaires G.
3) Traitements proposés
Prothétique : 2 PAP haut et bas pour récupérer la DV et le Calage Postérieur
Prescription d’une gouttière bi-maxillaire du type SB
Reconstitution dentaire pour consolider le Rehaussement
4) Résultats obtenus
Au bout de 2 jours suite à la pose des PAP, la patiente était arrivée au cabinet sans appuyer sur le bras de son époux, avec une démarche sûre, affirmée, rassurée « elle disait : je sens que je marche sur mes 2 jambes et j’ai plus d’assurance en moi ! »
Le sommeil est avec la prise médicaments causant la somnolence.
Après 3 mois, la patiente reconnaissait d’avoir entendu de nouveau grincement de porte, le chuchotement du mari. Elle participait activement aux conversations au cabinet. L’époux m’avait dit avec humour :
« C’est de votre faute, depuis quelques jours, je ne peux plus rien lui dire dans son dos !»
Les couleurs vestimentaires changeaient de manière flagrante avec le retour progressif des couleurs vives, gaies.

5) Pronostic
Bon.
Suite à la compressibilité de la gencive, après la pose de prothèses, rebasage avait été fait pour palier le nouvel affaissement, afin de récupérer la stabilité.
Cas 3 : Gabriel D.(2009-10)
1) Historique
Le patient est venu avec la demande d’être « guéri » de ses migraines, qu’il avait depuis 20 ans.
2) Examen clinique
a) Anamnèse
Migraineux depuis 20 ans, perte d’équilibre, apnée du sommeil (port nocturne d’appareil respiratoire), insomnie, respiration buccale, douleur nucale, lombaire, genoux, hernie inguinale répétitive (3 en 2 ans), perte de mémoire importante (qui est devenue pour lui une obsession), existence des cors tenaces aux pieds.
b) Extra buccal
Pli commissural important témoigne une diminution de la DV, dos courbé, démarche lente, manque d’assurance. Traits fatigués.
Test d’équilibre montrant un basculement à G
c) Intra buccale
Existence de 2 Prothèses adjointes complètes usées à l’extrême, environ 4mm, Cl I transformée en pseudo Cl III
3) Traitements proposés
Rehaussement occlusal provisoire, sur PAC existantes, avec recréation du Guidage Antérieur et du Calage Postérieur.
Prescription de port de gouttière souple type SB pour stimulation.
Puis réalisation des PAC neuves

4) Résultats obtenus
Disparition progressive des migraines au bout de 8 mois. Redressement de la courbure du dos. Amélioration de la qualité du sommeil. Disparition des douleurs diverses au bout de 3 mois. Démarche stable avec plus d’assurance. Meilleure amplitude des mouvements.
Meilleure respiration nasale
Ré intéressement à des choses délaissées depuis longtemps
Persistance des claquements ATM, mais bien atténués
5) Pronostic
Stabilité du résultat, contrôle fait pour assurer l’usure homogène des prothèses.
6) Discussion
Nous n’avons pas pu lui faire des tests scapulaire et pelvien pour vérifier l’adaptation de solution, mais les résultats sont là.
Conclusion :
Dans ces 3 cas, suite aux traitements adéquats, qui nous seront encore plus sûrs aujourd’hui par l’application des tests posturaux, nous avons pu assister à une lente, mais certaine, amélioration de la stabilité, ainsi que de la mobilité de la personne en Bipédie, avec la disparition totale ou partielle des troubles posturaux, provocant ou non des douleurs handicapant leur existence.
De ce fait, nous aimerions conclure sur une recommandation de M. CLAUZADE : le praticien dentiste doit en fait répondre à 2 questions fondamentales simples, mais incontournables dans son activité quotidienne :
1 : le patient présente-t-il un dysfonctionnement crânio – mandibulaire ou un déficit
postural ? Peut-on améliorer son état ?
2 : le travail orthodontique ou prothétique n’est-il pas iatrogène pour le patient ?
Tel est le principe : Primo none nocere.
BIBLIOGRAPHIE
BRICOT B. « la reprogrammation posturale » Éditions Sauramps médical 1996
CLAUZADE M., MARTY JP. « Orthoposturodontie » Éditeur S.E.O.O. 1998
CLAUZADE M., MARTY JP. « Orthoposturodontie 2 » Éditeur S.E.O.O. 2006
TOUBOL J.-P. « L’occlusiondontie au quotidien » Éditeur Masson 1996